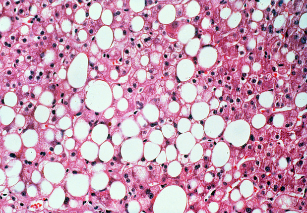
Resultaten van chirurgie voor HCC op niet-alcoholische leververvetting

In een recente studie werd vastgesteld dat de chirurgische morbiditeit en het risico op leverinsufficiëntie hoger waren na resectie van een hepatocellulair carcinoom op niet-alcoholische leververvetting, maar dat de langetermijnoverleving beter was dan bij een hepatocellulair carcinoom dat een andere oorzaak had dan niet-alcoholische leververvetting.
De auteurs van deze monocentrische studie hebben de gegevens doorgenomen van 996 patiënten bij wie een chirurgische resectie van een hepatocellulair carcinoom was uitgevoerd. De patiënten werden in twee groepen ingedeeld op grond van histologische tekenen van leververvetting: niet-alcoholische leververvetting (NAFLD) (n = 152) en non-NAFLD (n = 844). De vorsers hebben dan de demografische, klinische en chirurgische kenmerken, het aantal postoperatieve complicaties en de overleving vergeleken in de twee groepen.
Patiënten met een hepatocellulair carcinoom in samenhang met niet-alcoholische leversteatose vertoonden vaker comorbiditeit, meer peroperatief bloedverlies en meer postoperatieve complicaties en verbleven langer in het ziekenhuis. Anderzijds was de mediane diameter van de tumor groter bij de patiënten zonder NAFLD en die patiënten vertoonden ook meer levercirrose en een lagere mediane verhouding aantal neutrofiele granulocyten/lymfocyten.
De totale vijfjaarsoverleving was significant beter in de NAFLD-groep (p = 0,0355). Factoren die correleerden met een slechtere overleving, waren de leeftijd, congestief hartfalen, Child-Pugh klasse B, cirrose, de grootte van de tumor, een multinodulaire tumor en een R1-resectie.
Koh YX et al.: Liver Resection for Nonalcoholic Fatty Liver Disease-Associated Hepatocellular Carcinoma. Journal of the American College of Surgeons 2019 https://doi.org/10.1016/j.jamcollsurg.2019.07.012; https://www.journalacs.org/article/S1072-7515(19)30448-X/fulltext?rss=yes
